Fale Comigo
Whatsapp

Imagens

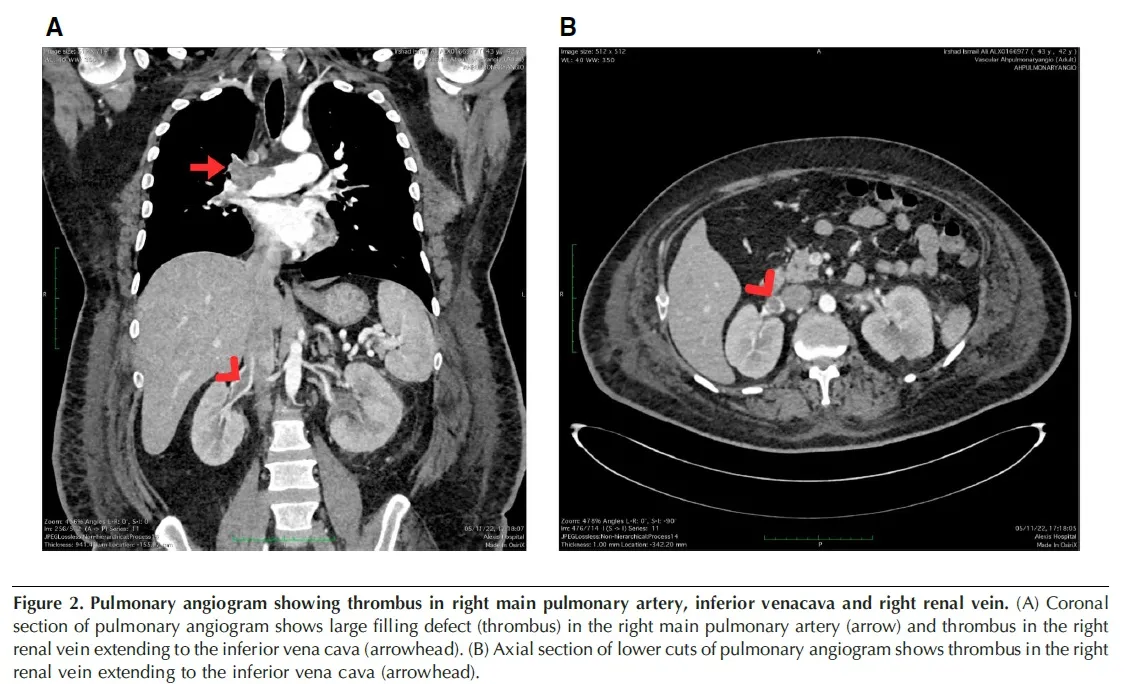
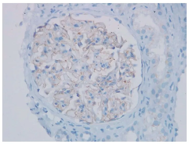
“Doutor, é só um remédio natural”: Uma possível armadilha para o rim!

Valkercyo Feitosa

2025-04-29

Recomendação de posts Nefroupdates