Fale Comigo
Whatsapp

Imagens

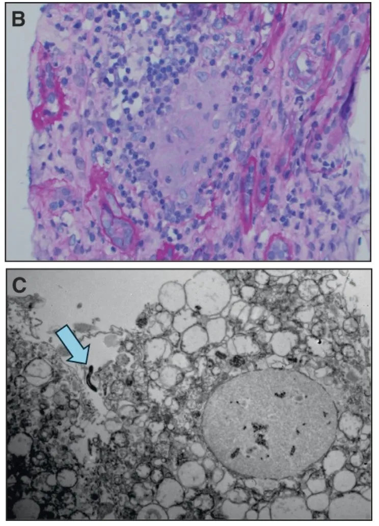
Síndrome de reconstituição imune e disfunção renal no HIV

Valkercyo Feitosa

2024-08-13

Recomendação de posts Nefroupdates